急性呼吸窘迫综合征也称急性肺损伤(ARDS),是指在严重感染、休克、创伤及烧伤等非心源性疾病过程中,肺毛细血管内皮细胞和肺泡上皮细胞损伤导致的急性第阳性呼吸功能不全或呼吸衰竭。目前针对此疾病的机制还不太明确,因此在小鼠或者大鼠等模式动物上模拟此疾病作为研究机制的基础模型就必不可少。在此,我们介绍一下我们做过的小鼠急性肺损伤造模方法以及其他已发表文献中总结的造模方法,为广大科研工作者提供参考。
1.鼻内滴注/吸入法造ARDS模型
(1)动物:8-10周龄c57小鼠
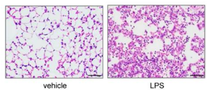
(2)建模方法:腹腔注射100mg/kg剂量氯胺酮进行麻醉,鼻内一次性滴注10μg LPS(或10mg/kg 50ul),LPS处理24h/48h后处死小鼠取肺组织进行石蜡切片HE染色,观察肺部损伤情况。
(3)肺损伤评估标准:采用Smith评分方法对肺水肿、肺泡以及间质炎症、肺泡及间质出血、肺不张和透明膜形成,分别进行0-4分半定量分析;无损伤0分,病变范围<25%=1分,病变范围占25%-50%=2分,病变范围占50%-75%=3分,病变满视野=4分,总肺损伤评分为上述各项之和,每只动物观察10个高倍镜视野,取其平均值。


2.静脉注射法造ARDS模型
(1)动物:6-8周龄c57小鼠
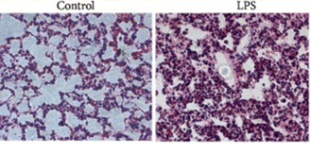
(2)建模方法:腹膜注射1%苯巴比妥进行麻醉,麻醉后一次性静脉注射100μL LPS(Sigma),剂量为5mg/kg体重,LPS处理24h/48h后处死小鼠取肺组织进行石蜡切片HE染色,观察肺部损伤情况;
(3)肺损伤评估标准:采用Smith评分方法对肺水肿、肺泡以及间质炎症、肺泡及间质出血、肺不张和透明膜形成,分别进行0-4分半定量分析;无损伤0分,病变范围<25%=1分,病变范围占25%-50%=2分,病变范围占50%-75%=3分,病变满视野=4分,总肺损伤评分为上述各项之和,每只动物观察10个高倍镜视野,取其平均值。

3.气道/气管滴注法造ARDS模型
(1)动物:6-8周龄c57小鼠
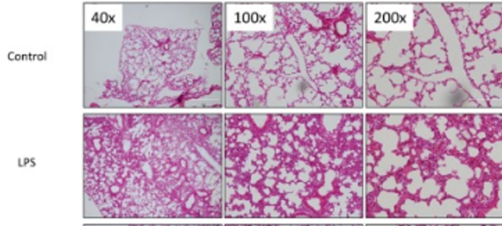
(2)建模方法:腹膜注射1%苯巴比妥进行麻醉,麻醉后一次性#20针头气管滴注LPS(Sigma),剂量为5mg/kg体重(或10ug/50ul LPS),LPS处理24h/48h后处死小鼠取肺组织进行石蜡切片HE染色,观察肺部损伤情况;
(3)肺损伤评估标准:采用Smith评分方法对肺水肿、肺泡以及间质炎症、肺泡及间质出血、肺不张和透明膜形成,分别进行0-4分半定量分析;无损伤0分,病变范围<25%=1分,病变范围占25%-50%=2分,病变范围占50%-75%=3分,病变满视野=4分,总肺损伤评分为上述各项之和,每只动物观察10个高倍镜视野,取其平均值。


4.急性肺损伤动物模型后续研究方法
(1)动物分组
A 空白组C57小鼠
B LPS造模组C57小鼠
C LPS造模组+药物治疗组C57小鼠
D LPS造模组+X基因过表达腺病毒C57小鼠
(2)48h后动物处死,收集肺组织、肺泡灌洗液、血清等样本,进行后续检测;
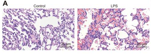
HE检测:肺组织的病变情况和肺泡灌洗液中的细胞情况;
免疫组化检测:肺组织中炎症因子表达情况以及关注的重点信号通路基因表达情况;
WB检测:肺组织中关注的重点信号通路基因表达情况;
ELISA检测:血清中炎症因子的表达情况。
此外急性肺损伤的动物模型还可以配合细胞实验研究更深入的机制,例如研究关键信号通路的上下游关系、蛋白互作关系、磷酸化等实验,来更好确定RNA或者蛋白在此过程中的功能,一般细胞实验也是用LPS处理,结合siRNA、抑制剂等试剂能更好的阐述机制。
动物实验外包 想了解更多请关注:https://www.do-gene.cn/

